
Graviditetsscanning i Hillerød
6 scanningstyper udført af autoriserede jordemødre i samme klinik som dine læger. Gratis parkering og let tilgængelighed fra hele Nordsjælland.
Vi tilbyder graviditetsscanning af autoriserede jordemødre hos Centrumlægerne i Hillerød — centralt i Nordsjælland med let adgang fra Helsingør, Fredensborg, Allerød, Frederikssund og Hørsholm. Vores scanninger udføres af jordemødre i samme klinik som dine praktiserende læger, hvilket giver direkte opfølgning ved behov.
- Tidlig scanning – hjerteblink fra uge 5+0
- Kønscanning – pige eller dreng fra uge 14+0
- Tryghedsscanning – hjertelyd og trivsel fra uge 14+0
- 3D/4D-scanning – realistiske billeder uge 25–30
- Tilvækstscanning – barnets vægt og vækst fra uge 24
- Op/ned-scanning – barnets leje fra uge 32
Tidlig scanning
Hjerteblink fra uge 5+0
445 kr. / 395 kr. returkunde
Kønscanning
Pige eller dreng fra uge 14+0
595 kr. / 495 kr. returkunde
Tryghedsscanning
Hjertelyd og trivsel fra uge 14+0
445 kr. / 395 kr. returkunde
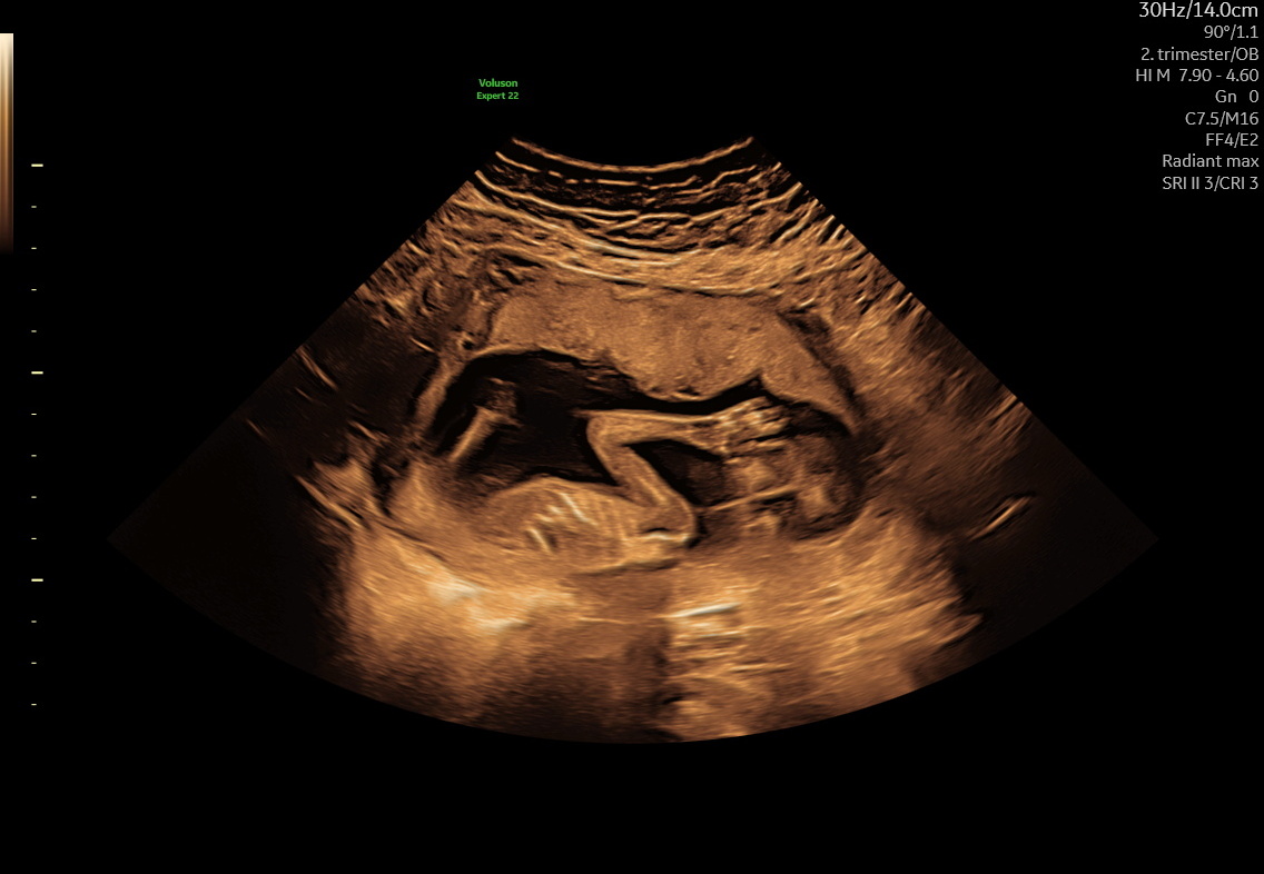
3D/4D-scanning
Realistiske billeder uge 25–30
1.095 kr. / 1.045 kr. returkunde
Tilvækstscanning
Barnets vækst og vægt fra uge 24
445 kr. / 395 kr. returkunde
Op/ned-scanning
Barnets leje fra uge 32
445 kr. / 395 kr. returkundeGraviditetsscanning i Nordsjælland — hos din læge
Hos Centrumlægerne udfører autoriserede jordemødre graviditetsscanninger i samme klinik som dine praktiserende læger. Det giver kortere reaktionstid ved fund, direkte kommunikation og et trygt forløb gennem hele graviditeten.
Vi scanner gravide fra hele Nordsjælland — inklusive Hillerød, Helsingør, Fredensborg, Allerød, Hørsholm, Frederikssund og Frederiksværk. Klinikken ligger centralt på Søndre Jernbanevej 4B i Hillerød, tæt på station og med gratis parkering.
- Ingen venteliste – book online
- Autoriserede jordemødre med klinisk erfaring
- Læger i samme klinik ved behov for opfølgning
- Gratis parkering og let adgang fra hele Nordsjælland
Ofte stillede spørgsmål
Hvilke graviditetsscanninger tilbyder I i Hillerød?
Vi tilbyder 6 scanningstyper: tidlig scanning (fra uge 5+0), kønscanning (fra uge 14+0), tryghedsscanning (fra uge 14+0), 3D/4D-scanning (uge 25–30), tilvækstscanning (fra uge 24) og op/ned-scanning (fra uge 32).
Hvornår skal jeg vælge hvilken scanning?
Tidlig scanning bruges til at bekræfte graviditeten og se hjerteblink. Fra uge 14+0 kan du få kønscanning eller tryghedsscanning. 3D/4D giver realistiske billeder i uge 25–30. Tilvækstscanning og op/ned-scanning er relevante sent i graviditeten.
Behøver jeg henvisning fra min læge?
Nej. Du kan booke direkte online uden henvisning. Scanningerne er privatbetalte.
Scanner I gravide fra hele Nordsjælland?
Ja. Vores klinik ligger centralt i Hillerød og modtager gravide fra hele Nordsjælland — Helsingør, Fredensborg, Allerød, Hørsholm, Frederikssund og Frederiksværk. Der er gratis parkering ved klinikken.
Hvor hurtigt kan jeg få en tid?
Vi har typisk tider i samme uge. Book direkte online eller kontakt klinikken.
Er der parkering ved klinikken?
Ja. Der er gratis parkering ved Centrumlægerne på Søndre Jernbanevej 4B i Hillerød, tæt på Hillerød Station.
